
Tomografía Abdominal
La tomografía computada de abdomen es una prueba indolora, donde se utiliza una máquina especializada de emisión de rayos X para tomar imágenes de los órganos, los vasos sanguíneos y los ganglios linfáticos del paciente.La máquina, de forma de anillo, rodea el cuerpo del paciente y se encarga de tomar imágenes de cortes transversales de sus órganos internos desde distintos ángulos. Estas imágenes se envían a una computadora que se encarga de registrarlas. También las puedes agrupar para formar una imagen tridimensional (o en 3D). Las tomografías computadas (o TAC), también denominadas "tomografías axiales computarizadas" o simplemente "tomografías", las llevan a cabo técnicos especializados en radiología.Las TAC abdominales permiten detectar signos de infección, infección, lesión o enfermedad en el hígado, el bazo, los riñones, la vejiga, el estómago, los intestinos, el páncreas y las glándulas suprarrenales. También se utilizan para observar los vasos sanguíneos y los ganglios linfáticos de la zona abdominal. Un médico o pediatra puede solicitar una tomografía computada para averiguar la causa de un dolor abdominal, diagnosticar una enfermedad o evaluar las repercusiones de una lesión traumática.


Tomografía de Tórax
Una tomografía computarizada (TC) abdominal es una prueba de diagnóstico por imagen que usa rayos X para tomar imágenes detalladas del abdomen, incluyendo órganos como el hígado, riñones, páncreas, bazo, intestinos, vasos sanguíneos y glándulas suprarrenales. Este estudio se utiliza para evaluar síntomas como el dolor abdominal, diagnosticar enfermedades (como cáncer o inflamación) y comprobar lesiones. La máquina de rayos X gira alrededor del paciente acostado en una camilla, y las imágenes transversales se reconstruyen en imágenes tridimensionales para un análisis más detallado.

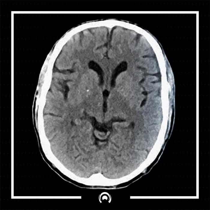
Tomografía de Cráneo
La tomografía computarizada (TC), un tipo de radiografía, obtiene imágenes detalladas que, al combinarse, crean una imagen tridimensional de las estructuras internas de la cabeza. Algunas exploraciones utilizan un medio de contraste para que los vasos sanguíneos y los tejidos se visualicen mejor. En algunas personas, el contraste intravenoso puede causar una reacción alérgica o afectar la función renal, especialmente en quienes padecen enfermedad renal. Si tiene problemas renales, informe al equipo de diagnóstico por imágenes.
Si recibe una inyección de contraste antes de la exploración, puede experimentar una sensación de calor en todo el cuerpo o un sabor metálico en la boca. Ambos síntomas desaparecerán pronto. La exploración en sí produce una mayor exposición a la radiación que una radiografía típica, pero el riesgo de problemas de salud derivados de una sola tomografía computarizada (TC) de la cabeza es extremadamente bajo.
©2025 - Creado por solucionesintegradas.tech
Inicio
Publicaciones
Encuéntranos
Contáctanos



